Kırık Nedir
Kırık vücutta bulunan bir kemik veya kemik parçasının, genellikle travma sonucu, kısmen veya
tamamen kırılması durumudur. Bu yaygın tıbbi durum, spor yaralanmaları, düşmeler, trafik
kazaları veya diğer travmatik etkenler nedeniyle ortaya çıkabilir. Kırık belirtileri arasında ağrı,
şişlik, morarma, hareket kısıtlılığı ve bazen kemikte deformite bulunabilir. Kırıklar, hayat
kalitesini ciddi şekilde etkileyebilir ve doğru tedavi gerektirebilir. Tedavi yöntemleri, kırığın
tipine ve ciddiyetine bağlı olarak değişir ve alçı, cerrahi müdahale veya diğer medikal yöntemler
kullanılabilir. Bu makalede, kırıkların türleri, belirtileri, teşhisi ve nasıl tedavi edildikleri gibi
önemli konular ele alınacak ve kırıkların nasıl kaynadığı süreç detaylarıyla incelenecektir.
Kırık Türleri: Açık ve Kapalı Kırıklar
Kırıklar genellikle açık (komplike) ve kapalı (basit) olmak üzere iki temel türe ayrılır. Bu kırık
türleri, kırığın cildin durumuna ve çevresine göre sınıflandırılır.
Açık Kırıklar (Komplike Kırıklar): Açık kırıklar, kırığın olduğu bölgedeki cildin yaralanmasıyla
karakterizedir. Yani, kemik kırılması ciltte bir kesik veya yara açar ve kemik dışarı çıkar. Bu tür
kırıklar genellikle dış ortamla temas ettiği için enfeksiyon riski taşır. Açık kırıkların tedavisi,
enfeksiyon riskini azaltmak için hızlı bir müdahale gerektirir. Tedavi genellikle cerrahi girişim ve
kırığın temizlenmesini içerir. Yaralanmanın iyileşme süreci daha uzun olabilir ve komplikasyonlar
daha yaygın olabilir.
Kapalı Kırıklar (Basit Kırıklar): Kapalı kırıklar, kırığın olduğu bölgedeki cildin bütünlüğünün
korunduğu kırıklardır. Cilt bütünlüğü sağlandığı için kırık, dış ortamla temas etmez. Bu tür kırıklar
genellikle daha az enfeksiyon riski taşır. Kapalı kırıklar genellikle alçı veya benzeri bir sabitleme
yöntemiyle tedavi edilir. İyileşme süreci, genellikle açık kırıklara göre daha hızlı ve komplikasyon
riski daha düşüktür.
Her iki kırık türü de ciddi olabilir ve tedavi süreci kırığın yerine, tipine ve hastanın genel sağlık
durumuna bağlı olarak değişebilir. Kırıkların doğru bir şekilde değerlendirilmesi ve uygun
tedavinin belirlenmesi için doktorun müdahalesi önemlidir.

Belirtiler ve Tanı: Kırık Belirtileri ve Tanı Yöntemleri
Kırık belirtileri genellikle kırığın tipine ve yerine bağlı olarak değişebilir. Ancak, yaygın belirtiler
arasında şunlar bulunur:
Ağrı ve Şişlik: Kırık bölgede şiddetli ağrı ve hemen ardından şişlik oluşabilir. Bu belirtiler, kırığın
neden olduğu dokuların tahrişine ve kan damarlarının hasarına yanıt olarak ortaya çıkar.
Morarma ve Hassasiyet: Kırık olan bölgede deride morarma ve hassasiyet gözlemlenebilir. Kan
damarlarının zarar görmesi ve kanın doku içine sızması bu belirtilere neden olabilir.
Hareket Kısıtlılığı: Kırık olan bölgedeki ağrı ve şişlik nedeniyle hareketler kısıtlanabilir. Özellikle
eklem yakınındaki kırıklar, ilgili eklemde normal hareketin engellenmesine neden olabilir.
Deformite: Bazı kırıklar, kemiklerin yer değiştirmesiyle birlikte belirgin bir deformiteye yol
açabilir. Bu durum, kırığın ciddiyetine ve konumuna bağlı olarak değişebilir.
Tedavi Seçenekleri: Alçı, Cerrahi Müdahale
Kırık tanısı, tipik olarak bir doktor veya uzman tarafından fizik muayene, röntgen, bilgisayarlı
tomografi (BT) taraması veya manyetik rezonans görüntüleme (MRG) gibi görüntüleme
testleriyle konulur. Fizik muayene sırasında doktor, hastanın belirti ve semptomlarını
değerlendirir ve muhtemel kırık bölgelerini kontrol eder. Görüntüleme testleri, kırığın türünü,
konumunu ve ciddiyetini doğrulamak için kullanılır. Bu tanı yöntemleri, kırığın doğru şekilde
değerlendirilmesini sağlar ve uygun tedavi planının belirlenmesine yardımcı olur.
Kırıkların tedavisi, kırığın tipine, konumuna ve ciddiyetine bağlı olarak değişebilir. İyileşme
sürecini desteklemek ve kemiğin doğru kaynamasını sağlamak için çeşitli tedavi seçenekleri
kullanılır.
- Alçı Tedavisi: Genellikle kırık olan bölgenin sabitlenmesi ve stabilize edilmesi için alçı kullanılır.
Alçı, kırığın etrafına uygulanarak kemiklerin doğru hizalanmasını ve kaynamasını sağlar. Bu
yöntem, genellikle kırıkların stabil olduğu ve yer değiştirmediği durumlarda tercih edilir. Alçı
tedavisi, kırığın iyileşme sürecini destekleyerek kemiklerin eski fonksiyonunu kazanmasına
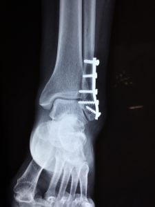
yardımcı olur. - Cerrahi Müdahale: Bazı kırıklar, kemiklerin uygun bir şekilde hizalanması ve sabitlenmesi için
cerrahi müdahale gerektirebilir. Özellikle açık kırıklar veya kemiklerin yer değiştirdiği kırıklar
cerrahi olarak tedavi edilebilir. Cerrahi müdahale, kırığın doğru şekilde iyileşmesini sağlamak için
plaklar, vida ve çiviler gibi medikal cihazlar kullanılarak gerçekleştirilir. Cerrahi tedavi genellikle
daha karmaşık kırıklar için gereklidir ve iyileşme süreci diğer yöntemlere göre daha uzun olabilir.
Tedavi seçimi, kırığın özelliklerine ve hastanın genel sağlık durumuna bağlı olarak belirlenir.
Doktor, hastanın kırığını değerlendirdikten ve gerekli testleri yaptıktan sonra en uygun tedavi
planını belirler. Amacı, kırığın doğru şekilde kaynamasını sağlayarak hastanın sağlığına ve
fonksiyonel iyileşmesine yardımcı olmaktır.

İyileşme Süreci: Kırıklar Nasıl Kaynar?
Kırıkların kaynaması veya iyileşme süreci, kemiklerin doğal olarak iyileşme kapasitesini
kullanarak gerçekleşen karmaşık bir biyolojik süreçtir. İyileşme süreci genellikle şu aşamalardan
oluşur:
- İnflamasyon Aşaması: Kırık meydana geldiğinde, vücut hemen kırık bölgesine kan damarlarını
genişleterek ve iltihaplanma tepkisi göstererek cevap verir. Bu süreçte, kırık bölgesindeki
damarlar geçirgen hale gelir ve kan plazması, beyaz kan hücreleri ve diğer iltihap hücreleri kırık
bölgesine akar. İnflamasyon aşaması, zarar görmüş dokuların temizlenmesine ve iyileşme
sürecinin başlamasına yardımcı olur. - Yeniden Şekillendirme Aşaması: İkinci aşama olan yeniden şekillendirme aşamasında, vücut
kırık bölgesinde yeni kemik dokusu oluşturmaya başlar. Kırığın etrafında kıkırdak ve bağ dokusu
oluşur. Osteoblast adı verilen hücreler, kırık bölgesinde yeni kemik matrisi üretmeye başlarlar.
Bu süreçte oluşan yeni kemik dokusu, kırığın iyileşmesini sağlayacak şekilde kademeli olarak
güçlenir. - Kemik Kaynama Aşaması: Yeniden şekillendirme sürecinin son aşaması kemik kaynama
aşamasıdır. Bu aşamada, oluşan yeni kemik dokusu eski kırık bölgesini doldurur ve kemikler
birleşir. Kırık kemikler arasında yeni bir köprü oluşur ve kemik kaynaması tamamlanır. Bu süreç
genellikle birkaç hafta ile birkaç ay arasında değişebilir ve kırığın ciddiyetine, hastanın yaşına ve
genel sağlık durumuna bağlı olarak değişir.
- Kırığın doğru şekilde kaynaması için, kemiklerin sabitlenmesi ve uygun destekleme
yöntemlerinin kullanılması önemlidir. Alçı veya cerrahi müdahale gibi tedavi seçenekleri, kırığın
stabilizasyonunu sağlar ve kemik kaynaması sürecini destekler. İyileşme süreci boyunca, fizik
tedavi ve egzersizler gibi rehabilitasyon yöntemleri de kemiklerin gücünü ve fonksiyonunu geri
kazanmaya yardımcı olabilir. Her hasta ve kırık durumu farklı olduğundan, tedavi planı bireysel
olarak belirlenir ve doktorun süreci yakından takip etmesi önemlidir.

Komplikasyonlar ve Önlemler
Komplikasyonlar
Kırıkların iyileşme süreci genellikle başarılı olsa da, bazı durumlarda komplikasyonlar ortaya
çıkabilir. Bu komplikasyonlar, kırığın tipine, tedaviye ve hastanın genel sağlık durumuna bağlı
olarak değişebilir. İyileşme sürecinde potansiyel komplikasyonlar şunları içerebilir:
- Enfeksiyon: Açık kırıklar veya cerrahi müdahale sonrasında enfeksiyon riski artabilir. Enfeksiyon
belirtileri arasında kırık bölgesinde artan ağrı, kızarıklık, ateş ve irin oluşumu bulunabilir.
Enfeksiyonun erken teşhisi ve tedavisi önemlidir, çünkü ilerleyebilerek kırığın iyileşmesini
olumsuz etkileyebilir. - Kırık İyileşmesinde Gecikme: Bazı durumlarda, kemiklerin uygun şekilde kaynaması veya
iyileşmesi gecikebilir. Bu durum, kırığın ciddiyetine, hastanın yaşına, beslenme durumuna ve
tedavi yöntemine bağlı olabilir. Gecikmiş iyileşme durumunda, ek tedavi yöntemleri veya cerrahi
müdahale gerekebilir. - Kırık Sonrası Yetersiz Fonksiyon: Eğer kırık tedavisi uygun şekilde yapılmaz veya rehabilitasyon
yetersiz kalırsa, kırık bölgesinde fonksiyonel yetersizlikler ortaya çıkabilir. Bu durum, eklem
sertliği, hareket kısıtlılığı veya kronik ağrı şeklinde olabilir. - Damar ve Sinir Hasarı: Kırıkların şiddetine bağlı olarak, çevredeki damarlar veya sinirler hasar
görebilir. Bu durumda, kırığın yakınındaki kan dolaşımı veya sinir iletimi etkilenebilir, bu da uzun
vadeli sorunlara neden olabilir.
Önlemler
Komplikasyonları önlemek veya minimize etmek için şu önlemler alınabilir:
- Kırık bölgesinin uygun şekilde immobilize edilmesi ve sabitlenmesi.
- İyi beslenme ve yeterli sıvı alımı ile kemiklerin sağlıklı bir şekilde iyileşmesini desteklemek.
- Doktorun tavsiyelerine ve tedavi planına uygun şekilde hareket etmek.
- Enfeksiyon riskini azaltmak için hijyen kurallarına dikkat etmek ve doktorun verdiği ilaçları
düzenli olarak kullanmak. - Kırık sonrası rehabilitasyon programına katılmak ve fizik tedavi egzersizlerini düzenli olarak
yapmak.
Komplikasyonların erken teşhisi ve tedavisi, kırık iyileşme sürecini olumlu yönde etkileyebilir ve
uzun vadeli sorunların önlenmesine yardımcı olabilir. Tedavi sürecinde, hastanın doktorla
düzenli iletişim halinde olması ve belirtileri hemen bildirmesi önemlidir. Kırıklar, yaşam kalitesini önemli ölçüde etkileyebilen ciddi tıbbi durumlardır ancak doğru tanı ve tedavi ile genellikle başarılı bir şekilde iyileşebilirler. Kırık tedavisi, hastanın yaşına, kırığın tipine ve ciddiyetine bağlı olarak değişebilir; ancak en önemli faktörlerden biri doğru ve zamanında müdahaledir. Tedavi sürecinde doktorun önerilerine uyum sağlamak ve rehabilitasyon
programlarına katılmak, kırığın sağlıklı şekilde iyileşmesini destekleyebilir. Ayrıca, kırık sonrası
olası komplikasyonları önlemek için doktorun önerdiği önlemlere dikkat etmek önemlidir. Kırık
iyileşme süreci her hastada farklı olabilir ve sabır gerektirebilir. Bu süreçte destekleyici bir sağlık
ekibiyle iletişim halinde kalmak ve belirtileri takip etmek, hastanın sağlığını ve iyileşme sürecini
olumlu yönde etkileyebilir.
Önemli Hatırlatma!
Bu makale yalnızca genel bilgilendirme amacıyla sağlanmış olup tıbbi tavsiye veya tedavi yerine
geçmez. Bu bilgiler, kişisel tıbbi durumunuz veya sağlık sorunlarınız için özel bir tavsiye veya
teşhis teşkil etmez. Herhangi bir sağlık sorunu veya belirtiyle ilgili olarak profesyonel tıbbi
tavsiye almanız önemle önerilir.


Yorumlar (1)
Recepdiyor:
Nisan 13, 2024, 6:41 pm'deGüzel bir yazı olmuş, teşekkürler.